ホワイトワイヤーは、歯科の歯列矯正治療で用いる白色のワイヤー。審美的な要求の高まりに応じて開発が進められている。
概要
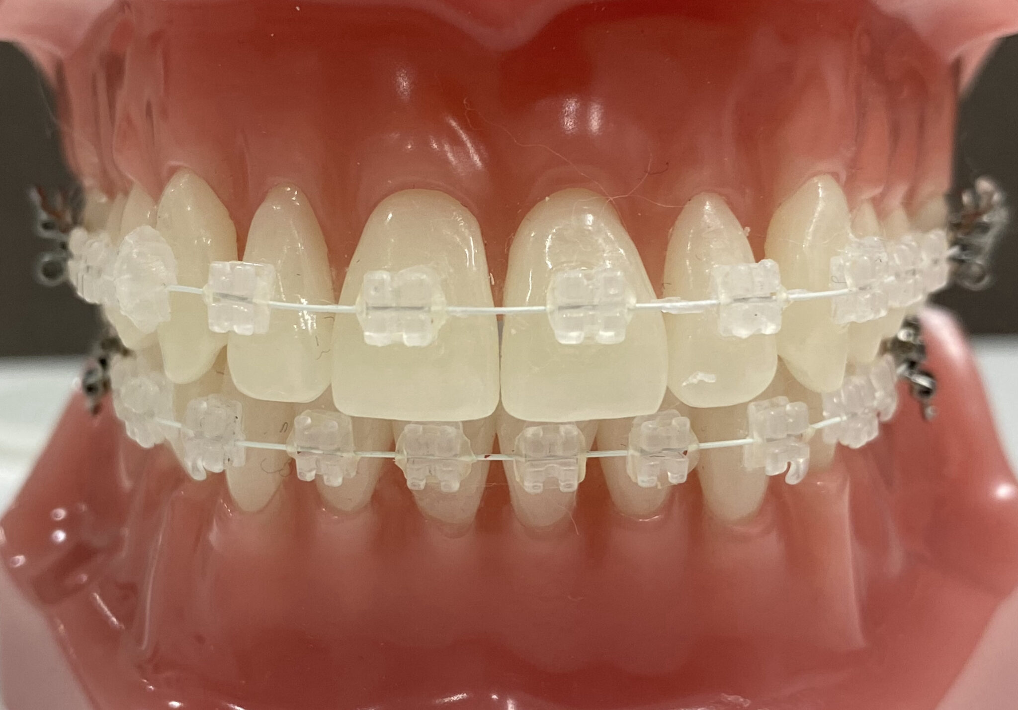
日本の歯列矯正においては、矯正器具をつける事による審美障害が問題になる。その対応として器具を歯の裏側からつける舌側矯正という方法と、器具そのものを透明、もしくは白くするという方法が考えられてきた。歯につけるブラケットは透明なプラスチック製の製品、白いセラミックス製の製品が早い段階で登場したが、ワイヤーの場合は弾性が必要なため白い材料をもちいる事ができず、金属を加工する事で徐々に応用が進んだ。これがホワイトワイヤーと呼ばれている。
ホワイトワイヤーと呼ばれるものの定義は広く、表面を白くコーティングしたもの、またつや消しをしてくすんだ銀色をした製品もホワイトワイヤーとカテゴライズされ発売されている。日本では、デンツプライ三金、トミーインターナショナルインク、オーティカ・インターナショナル、ティーピー・オーソドンテックス・ジャパン、松風などのメーカーが製品を供給している。ホワイトワイヤーの課題としてはコーティングのものは、コーティングの耐久性とコーティングをするためにワイヤーのすべりが悪くなるという課題があり、各社ともその改善に取り組んでいる。審美的に重要な表面のみを半分コーティングし、ブラケットのスロットに入る部分はコーティングしない事によりワイヤーのすべりを妨げないように工夫した製品もティーピー・オーソドンテックス・ジャパンより発売されている。
上述のように加工方法によってはワイヤーのすべりに影響を与えるので治療期間の中では使えない時期が生じる事もある。
主な製品
- タイロニイワイヤー ホワイトコーティング(デンツプライ三金)
- センタロイホワイト、バイオフォースセンタロイホワイト、ホワイトステンレスワイヤー(トミーインターナショナルインク)
- エステティックワイヤー(Aesthetic Wire)(TP オーソドンテックス・ジャパン)
- NiTi歯冠色コーティングアーチワイヤー(オーティカ・インターナショナル)
- S.S.歯冠色コーテッドアーチワイヤー(オーティカ・インターナショナル)
- ビアワイヤー Ti-Ni SE パールホワイト(松風)
- ビアワイヤー ステンレススチール パールホワイト(松風)
関連
- 矯正歯科
- 歯列矯正
- クリアブラケット
- プラスチックブラケット




